Biofabricated Human Tissue Models
Click on the interactive points to learn about our different tissue models and their applications.

Click any dot to explore tissue modelsTap any dot to explore

BioDEpi
Human Skin Epidermis
Description
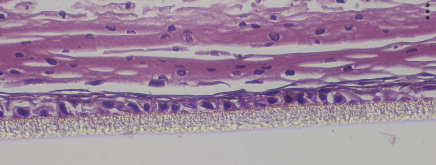
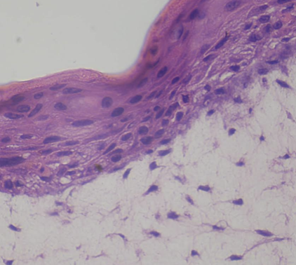
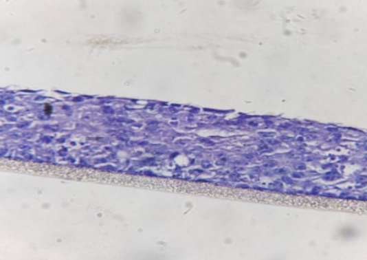
The BioDEpi models are constructed using normal epidermal keratinocytes sourced from human tissues after obtaining the necessary ethical consent from the patients. These cells are isolated and cultured using inhouse developed serum free media to obtain the maximum undifferentiated cellular population. These cells are cultured on transwell inserts with a pore size 0.4μm to culture these tissues at an air-liquid interface as native tissue, resulting in the formation of a multilayered and highly differentiated model that faithfully mimics the structure and characteristics of the native human epidermis. The resemblance of the BioDEpi model to the native human epidermis highlights its authenticity and suitability for various applications in research, including dermatological studies and drug development.
Applications
- Anti-aging
- Disease modelling
- Investigating the effects of ageing on the skin.
Market-Ready Models
Our validated and commercially available tissue models.
Validation Pipeline
Models currently undergoing validation and testing.
Research & Development
Models in active research and development phase.
Need Custom Solutions?
Our team can develop custom tissue models tailored to your specific research needs.
